Cleaning & Prevention in Albion Park

At Tongarra Road Family Dental, we’re founded on the principle of prevention. We recommend biannual cleanings and examinations for all patients. These visits not only help prevent dental problems before they arise—they also leave your gums healthier and your teeth cleaner and brighter.

A professional cleaning removes hardened plaque (commonly known as tartar) that brushing and flossing alone can’t eliminate. It also includes a fluoride treatment and polish to help protect and soothe your teeth and gums.

Even if it’s been years since your last visit, it’s never too late to care for your teeth and gums.

What Are Some Preventive Measures I Can Take at Home?

Maintaining good oral hygiene at home is key to a healthy smile. Here are some simple but effective habits to follow:

  • Brush in a gentle circular motion using fluoride toothpaste.

  • Use a soft-bristled toothbrush to avoid damaging your gums.

  • Brush at least twice a day, ideally after every meal.

  • Floss daily, especially before bedtime, to remove plaque between teeth.

  • Use an alcohol-free oral rinse after flossing to help reduce bacteria.

  • Limit sugary foods and drinks such as chocolate, lollies, and soft drinks.

  • Avoid staining and harmful substances like coffee and tobacco.

  • Most importantly, visit your dentist every 6 months for a preventive check-up and professional clean.

Taking these steps can go a long way in keeping your smile bright and healthy!

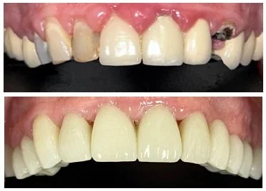
Gum health and crowns

Healthier Gums & Restored Smile. This transformation shows improved gum health and for an added bonus, beautifully crafted dental crowns!