Dental Veneers in Albion Park

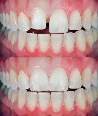
If you’re concerned about the appearance of your teeth, veneers can give you something to smile about! Veneers are thin porcelain shells custom-fitted to your teeth to recreate their natural look, while also providing durability and strength similar to natural enamel.

They are often the procedure of choice for patients seeking cosmetic enhancements such as:

  • Changing tooth shape, size, or colour

  • Closing gaps

  • Repairing chips or cracks

  • Achieving a complete smile makeover

iStock-452954335-860x1024.jpg