Dental Smile Design (DSD) in Albion Park

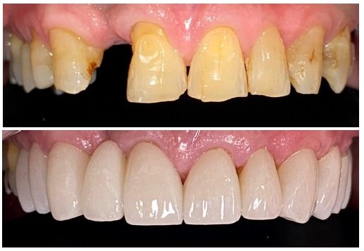
Digital Smile Design is revolutionizing the way smile makeovers are created. This advanced technology allows our dental professionals to design custom crowns, bridges, and veneers tailored to your individual needs and preferences.

Using a series of photos taken in our clinic, the lab team creates a fully personalized 3D virtual and physical model of your potential new smile. This enables you to see and feel the end result before treatment even begins, ensuring optimal results and full patient confidence.